Apopleksi
Apopleksi (apoplexia cerebri, også kendt som slagtilfælde, hjerneblødning, blodprop i hjernen og stroke) er en pludseligt opstået neurologisk skade eller udfald på baggrund af iskæmi (nedsat blodforsyning) i hjernen. Den kan enten skyldes en blodprop i et forsynende blodkar (85%) eller en bristning af et blodkar, der medfører en blødning i hjernens væv (15%). Ved apopleksi er hurtig reaktion og behandling vigtig for at undgå død og skadelige følger.[1]
| Apopleksi Klassifikation | |
|---|---|
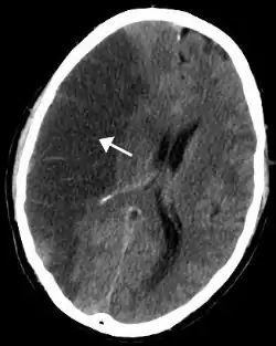
![]() Billede fra CT-scanning af patient med infarkt i Arteria media cerebri. | |
| Information | |
| Navn | Apopleksi |
| Medicinsk fagområde |
neurokirurgi, neuromedicin |
| Genetisk association |
ADAMTS2, ALDH2, AIM1, ZFHX3, IMPA2, KALRN, HDAC9, ADAMTS12, SPSB4 |
| SKS | DI61, DI63, DI64 |
| ICD-10 | I61, I63, I64 |
| OMIM |
601367 |
| DiseasesDB |
2247 |
| MedlinePlus |
000726 |
| Patientplus |
cerebrovascular-events |
| MeSH |
D020521 |
|
Information med symbolet | |
Symptomerne i den akutte fase afhænger af hvilket hjerneområde, der er ramt. Hyppigt drejer det sig om nedsat bevidsthed, nedsat kraft og følelse i den ene side af kroppen og kognitive forstyrrelser, der påvirker sprog, rumfornemmelse og hverdagsfunktioner. Psykiske forandringer og depressioner er ligeledes almindelige.
Diagnosen stilles ud fra en klinisk undersøgelse, men det er ikke muligt at skelne mellem en blodprop og en blødning på baggrund af denne.[2] Som supplement til den kliniske undersøgelse vil der næsten altid udføres en CT-scanning eller MR-scanning. Formålet med disse scanninger er at understøtte diagnosen, vurdere prognosen og udelukke differentialdiagnoser, f.eks. tumor/metastaser, subaraknoidal blødning (SAH) og subduralt hæmatom (SDH).
I praksis skelnes der mellem apopleksi, hvor symptomerne har en varighed på over 24 timer og TCI (transitorisk cerebral iskæmi), hvor symptomerne forsvinder inden for 24 timer.
Der ses årligt mellem 10.000-12.000 nye tilfælde af apopleksi i Danmark og det er derved en af de største folkesygdomme. Op imod 10 % af patienterne dør inden for den første måned, og hos de overlevende medfører sygdommen ofte en betydelig invalidering.[3]
Symptomer
De forskellige dele af hjernen har forskellige arbejdsopgaver og symptomerne vil derfor også være forskellige alt efter hvor i hjernen skaden er sket. Er der f.eks. et infarkt i det område der styrer venstre ben, vil patienten have en lammelse i venstre ben.
Dertil kan der være nogle mere generelle symptomer, fx hovedpine, træthed og epileptiske kramper. Symptomerne opstår enten fordi det område, som styrer den specifikke funktion, bliver ødelagt, eller fordi projektionsbanerne mellem det styrende område og kroppen bliver afskåret.[2]
Lammelser, føleforstyrrelser og bevægeforstyrrelser
En stor del af vores hjerne beskæftiger sig med at bevæge forskellige dele af kroppen. Bevægelserne blive igangsat i det motoriske cortex, mens tilstødende områder har "programmer" for hvordan bevægelserne skal laves. Dertil er der en række områder dybere i hjerne, der, sammen med cerebellum, er vigtige for koordination og balance. Alle disse områder er forbundet med hinanden og samarbejder om at lave præcise og glidende bevægelser.
De motoriske nervebaner, der løber fra cortex og ned igennem ryggen, krydser nede i hjernestammen. Det betyder, at bevægelser i venstre side af kroppen styres af højre hjernehalvdel.
Der kan ses en række forskellige motoriske symptomer:
- Parese: er nedsat kraft i en kropsdel. Der er bevægelse, men med mindre styrke end normalt. Hvis det er hele den ene side af kroppen kaldes det hemiparese.
- Paralyse: betyder at al bevægelse er væk. Kropsdelen er altså hel lammet.
- Styringsbesvær/ataksi: Betyder, at patienten har problemer med at styre en kropsdel eller hele kroppen. Beder man f.eks. patienten om at sætte en finger på næsen, kan man se, at armen ikke bevæges i en blød bue, men i en hakket og ujævn bue og ofte vil fingeren ramme forbi næsen.
Facialisparese
En facialisparese er en lammelse af ansigtets muskler (de muskler der enerveres af nervus facialis). Ved apopleksi er det næsten altid en central facialisparese hvor patienten har hængende mundvig og ikke kan puste kinden op. Derimod vil de ikke have hængende øjenlåg eller problemer med at rynke panden. Dette er til forskel for en perifer facialis parese, som f.eks. ses ved borrelia.
Dysfagi
Hvis musklerne i munden og svælget er blevet lammet, kan det påvirke patientens evne til at synke normalt. I svære tilfælde udebliver synkebevægelsen helt, mens den i lettere tilfælde kommer med sekunders forsinkelse.
Ved dysfagi lukkes der ikke ordentligt af til luftvejene og der er derfor risiko for, at der kommer vand, mad og sekreter ned i luftvejene (aspiration), hvilket kan medføre lungebetændelse.
Føleforstyrrelser
Ligesom der er motoriske områder, der styre bevægelser, er der sensoriske områder, der modtager beskeder fra kroppen. Beskederne kan groft deles i følesansen og proprioception.
Følesansen modtager besked om berøring, smerte, temperatur og tryk, og proprioception modtager besked fra muskler, sener og led om hvor de forskellige dele af kroppen befinder sig og om bevægelse.
Hvis følesansen bliver påvirket, bliver patientens evne til at føle berøring, smerte etc. nedsat. Mange beskriver det også som en summende eller stikkende fornemmelse. Det kan blive et problem, fordi patienten ikke kan mærke hvis de fx støder foden ind i noget, en hånd sidder i klemme eller de er ved at få trykssår. Hvis proprioceptionen er påvirket, får hjernen ikke be-sked om hvor kropsdelene befinder sig i forhold til krop-pen. Det gør det meget svært at styre og koordinere bevægelserne rigtigt og gøre at patienten fremstår klodset og kluntet.
De sensoriske og motoriske baner hænger tæt sammen og derfor vil patienter med parese næsten altid også have føleforstyrrelser, og omvendt.
Taleproblemer
Det at tale er en kompliceret opgave, der involverer flere dele af hjernen. Der er dels en række ’talecentre’ der hos de fleste mennesker sidder i venstre hjernehalvdel, dels de motoriske områder, der laver bevægelserne i munden, tungen og svælget.
Der findes flere måder at opdele taleproblemer, men den opdeling vi bruger i hverdagen er:
- Afasi: Omfatter både problemer med forståelsen og produktionen af sprog. Det kan altså både være et problem med at finde de rigtige ord, udtale ordene rigtigt og opbygge sætninger (ekspressiv afasi) og med at forstå det der bliver sagt til dem (impressiv afasi). De fleste patienter med afasi har dog både ekspressive og impressive problemer, og de kan samtidig have problemer med at læse og skrive.
- Dysartri: Ved dysartri er der udelukkende et problem med at udtale ordene pga. lammelse i de muskler i mund, tunge og svælg man bruger til at tale. Der er ikke problemer med sætningsopbygning og forståelse. (Dog kan man godt have afasi og dysartri samtidig).
Patienter der har taleproblemer vurderes af en logopæd (talepædagog).
Kognitive problemer
Dette er en bred samlebetegnelse for problemer, der har med tankevirksomhed at gøre, herunder hukommelse, indlæring, indsigt, koncentration og hverdagsfærdigheder at gøre. Disse problemer er mindre synlige end f.eks. en lammelse og det kan være svært for patienten at beskrive dem. Det kræver derfor tæt observation og undersøgelse, før man finder ud af det præcise problem.
- Nedsat sygdomsindsigt (Anosognosi): Betyder, at patienten ikke oplever eller erkender sin sygdom. Der er et område i parietallappen, som har med kropsopfattelse og sygdomsfornemmelse at gøre. Hvis dette område skades, får resten af hjernen ikke besked om at der er noget galt med kroppen. Patienten er derfor ikke bevidst om, at han/hun er syg og kan i nogle tilfælde benægte, at der skulle være noget galt.
Den manglende sygdomserkendelse kan både give problemer i forhold til genoptræningen, fordi patienten ikke er motiveret til træning, og i forhold til patientens sikkerhed, idet patienten ikke kan se sine egne begrænsninger.
- Neglect & nedsat opmærksomhed: Betyder, at patienten retter det meste eller al sin opmærksomhed væk fra den syge side. Det kan både være i forhold til selve kroppen, at patienten ’glemmer’ den lammede arm eller ben. Det kan også være i forhold til omgivelserne, at patienten slet ikke oplever hvad der foregår på den lammede side og f.eks. ikke høre når der bliver talt fra den side og ikke ser hvad der foregår.
- Pushing: Betyder, at patientens opfattelse af kroppens midtlinje er forstyrret. Derfor vil patienten spontant læne sig over mod den lammede side og bruge de raske ekstremiteter til aktivt at skubbe sig væk fra den raske side (deraf betegnelsen pushing). Patienten vil ofte insistere på at kroppen er lige, og ved forsøg på at rette den op, vil patienten arbejde imod.
- Apraksi: Betyder nedsat evne til at planlægge og udføre hverdagsaktiviteter. Det kan være fra at patienten ikke kan finde ud af at bruge redskaberne rigtigt (prøver at rede hår med tandbørsten) eller at udføre de enkelte delaktiviteter i en forkert rækkefølge (begynder at tørre hår inden de har skyllet sæben ud).
- Agnosi: betyder problemer med genkendelse, f.eks. af genstande eller ansigter. Hvis man f.eks. viser patienten en tandbørste, kan han ikke se hvad det er (visuel agnosi), men når patienten får den i hånden er han ikke i tvivl. Der kan også være problemer med genkendelse ved berøring af genstande (taktil agnosi).
Et andet typisk fænomen er ansigtsagnosi, hvor patienten ikke kan genkende ansigter. Når patienten ser sine pårørende virker de ikke bekendte, men lige så snart de pårørende snakker, kan patienten genkende stemmerne.
- Hukommelsesproblemer: Det kan f.eks. være problemer med at huske sin fødselsdato eller huske informationerne fra personalet.
- Gråd- og latterlabilitet: Det kaldes også for tvangs-gråd eller tvangslatter, hvor patienten umotiveret og ude af sammenhæng enten græder eller griner vold-somt, uden at patienten kan fortælle hvorfor. Det kan være meget ubehageligt for patienten, fordi deres opførsel virker upassende overfor andre.
Synsproblemer
Synet kan blive påvirket på flere måder. Hvis synscortex bagerst i occipitallappen eller nervebanerne mellem synscortex og øjnene bliver skadet, kan dele af synet forsvinde. Ofte sker det ved, at enten halvdelen eller det kvarte af synet på begge øjne forsvinder, det kaldes henholdsvis for hemianopsi og kvadrantanopsi. Det er ikke altid, at patienten selv oplever det manglende synsfelt. Her kan det f.eks. observeres ved, at patienten støder ind i ting på den ene side. Dette adskiller sig fra neglect ved at patienten ellers reagere normalt på stimuli fra den påvirkede side.
Dobbeltsyn er også et hyppigt symptom. Det kan opstå hvis koordinationen af øjnene bliver forstyrret eller hvis øjnenes muskler bliver lammet.
Nedsat bevidsthed
Ved store skader i hjernen kan bevidstheden være påvirket på forskellige måder. Man kan tale om enten bevidsthedsindhold eller bevidsthedsniveau.
- Bevidsthedsindhold beskriver om patienten er orienteret og relevant. Kan patienten fortælle sit navn og cpr-nummer, hvor han/hun er og hvilken dag det f.eks. er? Ved patienten om det er dag eller nat?
- Bevidsthedsniveau beskriver hvor vågen patienten er. Ligger patienten med åbne øjne og følger med i hvad der foregår? Ligger patienten med lukkede øjne, men åbner dem ved tiltale eller smertestimuli? Er patienten ukontaktbar og uden reaktion?
- Somnolens betyder at patienten er sovende, men kan vækkes til vågen tilstand
- Ukontaktbar bruges om patienter, som er bevidstløse og ikke kan vækkes ved smertestimuli. Her bør dog uddybes med en beskrivelse af patienten og en Glasgow Coma Scale.
Hovedpine
Mange patienter, selv ved mindre apopleksier, klager over hovedpine. Den kan både være konstant, trykkende eller dunkende. Hos nogle er den værst om morgenen og hos andre er den lige kraftig igennem døgnet.
Patienter, der er bevidsthedssvækkede eller har afasi, kan ikke altid give udtryk for smerter. Her kan smerterne komme til udtryk som motorisk uro, grimasser eller øget puls og respirationsfrekvens.
Feber
Som en del af kroppens reaktion på den skade der er sket i hjernen, kan patienten godt få forhøjet temperatur. Det betyder ikke nødvendigvis, at patienten har en infektion, men kan bare være et tegn på at kroppen reagere. Temperatur forhøjelsen er imidlertid skadelig for hjernen og derfor forsøger man altid at sænke en temperatur over 37,5 °C ved at give Paracetamol.
Svimmelhed og balanceproblemer
Særligt hos patienter med skader i hjernestammen og cerebellum kan der være problemer med svimmelhed og med at holde balancen.
Kramper
Det skadede område i hjernen kan nogle gange være så irriteret, at det udløser et krampeanfald. I den akutte fase er det oftest patienter med blødning, der får krampeanfald. Men i det senere forløb kan både patienter med blødning og infarkt udvikle regelret epilepsi.
Træthed
Træthed (eller fatigue) er en af de hyppigste følger af apopleksi. Nogle patienter oplever, at de er trætte hele tiden eller hurtigt udtrættes ved aktivitet og måske sover meget. Andre oplever at de mangler energi, er uoplagte eller har svært ved at komme i gang. Mens nogle oplever, at de bliver meget følsomme over for for mange mennesker, støj og lignende.
Vigtigste symptomer og kliniske fund efter lokalitet
Frontallappen
|
| Parietallappen |
Temporallappen
|
Occipitallappen
|
| Cerebellum (lillehjernen) |
Hjernestammen
|
Ætiologi
De hyppigste årsager til apopleksi er:[2]
- Aterosclerose, som forårsager tilstopning af arterier inde i hjernen eller forkalkninger i større arterier uden for hjernen.
- Kardielle embolier, blodpropper kan dannes andre steder i kroppen og føres til hjernen via blodstrømmen. Emboliske blodpropper kan stamme fra hjertet, hvor atrieflimmer eller skader på hjertevæggen, kan få blodet til at størkne og danne blodpropper, eller fra halspulsårene.
- Intracranielle blødninger, ofte pga. kronisk forhøjet blodtryk, der har været ubehandlet eller dårligt reguleret, men kan også skyldes andre årsager, som blodfortyndende medicin, cancer, leversygdomme eller blodsygdomme.
- Småkarstilstopning, hos patienter med kronisk forhøjet blodtryk kommer der små skader på arterierne, der får karvæggen til at hæve op. I de små kar kan hævelse få karet til at lukke helt af så blodstrømmen stopper. Dette giver nogle karakteristiske tynde langstrakte infarkter (lakunære infarkter) dybt i hjernen
- Karsygdomme, som både kan være medfødte (f.eks. CADASIL) eller på grund af inflammation af kar-væggen, som kan komme af infektioner eller reumatiske sygdomme.
Risikofaktorer
Der findes over hundrede risikofaktorer for apopleksi. De mest betydningsfulde er disse:
- Høj alder.
- Forhøjet blodtryk, er en vigtig risikofaktor for både iskæmiske og hæmorrhagiske apopleksi.
- Diabetes, fordobler risikoen for iskæmisk apopleksi. Specielt patienter med meget svingende blodsukker er i risiko. Mange ved ikke selv, at de har type-2 diabetes, og derfor skal alle patienter, som indlægges for apopleksi screenes for diabetes med faste blodsukker.
- Hjertesygdomme, en hyppig årsag til apopleksi er atrieflimmer. Også andre hjertesygdomme, som fx myocardiopati, arytmi og hjerteklapsygdomme er risikofaktorer.
- Dyslipidæmi, for meget kolesterol og triglycerid i blodet øger risikoen for blodpropper.
- Rygning.
- Alkoholoverforbrug, mere end henholdsvis 7 og 14 genstande for kvinder og mænd om ugen.
- Familiær disponering, altså hvis andre i familien har haft blodpropper i hjernen eller hjertet.
- Tidligere apopleksi eller TCI.
- Forsnævring af halspulsårerne.
- Overvægt og nedsat fysisk aktivitet.
Behandling
Inden man begynder behandlingen, skal man have afklaret om apopleksien skyldes en blodprop eller en hjerneblødning. Dette kan gøres ved en CT-scanning eller en MR-scanning. Ved en CT-scanning kan man i begyndelsen kun se forandringer, hvis der er tale om en blødning, mens man ved en MR-scanning kan se forandringerne i alle tilfælde.
Det evidensbaserede grundlag for behandlingen af patienter med apopleksi i Danmark er samlet i Referenceprogrammet for behandling af patienter med apopleksi og TCI.[4] De fleste større sygehuse i Danmark har i løbet af de sidste 20 år oprettet specialiserede apopleksiafdelinger, til modtagelse og udredning af apopleksipatienter, i den akutte del af forløbet. I Referenceprogrammet bliver en apopleksiafdeling defineret som: en sygehusafdeling, der udelukkende eller næsten udelukkende beskæftiger sig med udredning og behandling af patienter med apopleksi, og som er karakteriseret ved tværfaglige team, et personale med særlig interesse for apopleksi, medinddragelse af pårørende og stadig kompetenceudvikling af personalet. Patienter, som bliver indlagt på disse afdelinger, bliver undersøgt og udredt efter standardiserede forløbsprogrammer. Disse programmer har til formål at sikre ensartede patientforløb af en høj kvalitet og med høj patienttilfredshed. Standardprogrammet vil på de fleste apopleksiafdelinger indbefatte:
- Klinisk undersøgelse af en reservelæge ved modtagelsen og en speciallæge på andendagen
- CT-scanning inden for 24 timer
- Monitorering af vitalværdier: blodtryk, puls, saturation (iltmætning), respirationsfrekvens og temperatur
- Undersøgelse for hjertesygdomme med EKG og telemetri
- Blodprøver: Blodbillede, infektionsparametre, blodsukker, lever-/galde-/pancreastal, blodlipider
- Antitrombotisk behandling: Ved modtagelsen gives 300 mg Acetylsalicylsyre og herefter tablet clopidogrel 75 mg dagligt
- Vurdering af ergoterapeut, fysioterapeut og evt. logopæd
Patienten vil forblive indlagt til observation de første 48 timer efter symptomdebut, fordi risikoen for nye blodpropper er størst i denne periode.
Trombolyse
Hvis apopleksien skyldes en blodprop i hjernen har enkelte afdelinger i Danmark de senere år haft mulighed for at give blodpropsopløsende medicin, trombolysebehandling.[4] Ved trombolyse gives der en kraftig blodfortyndende medicin intravenøst. Medicinen kan i en del tilfælde opløse blodproppen og derved forhindre yderligere skade på nervevævet. Behandlingen kan derfor kun bruges hvis der er tale om en blodprop, og derfor skal der først laves en CT-scanning for at udelukke en blødning. Hvis man giver trombolyse til en patient med en hjerneblødning, vil det få katastrofale følger, idet trombolysen vil modvirke blodets naturlige evne til at koagulere, og dermed vil blødningen være meget længere om at standse og dermed forrette større skade.
Behandling med trombolyse skal, af hensyn til effekt og sikkerhed, gives så hurtigt som muligt. Dels er sandsynligheden for at behandlingen har god effekt større, jo hurtigere den startes. Patienter der behandles efter 4½ time har ingen effekt af behandlingen. Derudover stiger risikoen for bivirkninger, fx blødning, jo længere tid der går fra symptomerne starter. Indenfor 3 timer er der ikke forskel i risikoen for blødning mellem behandling og placebo. Efter 3 timer er risikoen marginalt større i behandlingsgruppen, mens risikoen stiger betydeligt efter 4½ time.[5] Derfor gives trombolysebehandling normalt ikke til patienter med apopleksi efter 4½ time. Behandlingen er stadig ny og noget kontroversiel. Diskussionen bygger på, at behandlingen er meget omkostningsfuld (10-15.000 kr.) og at der har været tvivl om den egentlige effekt af den. Dertil kommer at behandlingen skal iværksættes meget hurtigt; inden for 4½ time efter symptomerne er startet, hvilket i mange tilfælde kan være svært at efterkomme.
Trombolyse tilbydes i Aalborg, Holstebro, Århus, Esbjerg, Odense, Roskilde, Glostrup (på ulige datoer) og Bisbebjerg (lige datoer). Hvis det ikke lykkedes at fjerne blodproppen med trombolyse har man mulighed for at fjerne blodproppen med et kateter gennem lysken (thrombektomi). Dette foregår i Århus, Odense og på Rigshospitalet. Det skal foregå hurtigst muligt.
Hvis apopleksien skyldes en blødning, vil man kun i sjældne tilfælde tilbyde en operation. Hvis patienten får følger efter apopleksien, vil der tilbydes genoptræning, enten under indlæggelse eller ambulant.
Kørselsforbud
Efter en blodprop i hjernen er der øget risiko for at udvikle en ny blodprop, også selv om der behandles forebyggende. Tidligere fik alle patienter kørselsforbud efter en blodprop i hjernen i minimum tre måneder, men i dag er det kun patienter med særligt forhøjet risiko, som ikke må køre bil. Man vurderer denne risiko ud fra en standardiseret skala, hvor hver risikofaktor gives point. Det er derved den samlede pointscore, som er afgørende for, om der nedlægges kørselsforbud eller ej.[6]
Se også
Referencer
- Red hjernen. Sundhedsstyrelsen 2022
- Boysen G & Voldby B. Centralnervesystems vaskulære sygdomme. I: Paulson OB, Gjerris F & Sørensen PS. Klinisk neurologi og neurokirurgi. FADL's forlag 2004, København.
- Dansk Apopleksiregister - Årsrapport 2013. Tilgået på https://www.sundhed.dk/content/cms/69/4669_dansk-apopleksi-register_aarsrapport_2013_kommenteret-_off_28042014.pdf Arkiveret 29. december 2014 hos Wayback Machine
- Dansk Selskab for Apopleksi. Referenceprogram for behandling af patienter med apopleksi. København 2012. Tilgået 28.12.14 på http://www.dsfa.dk/wp-content/uploads/REFERENCEPROGRAMFINAL20131.pdf Arkiveret 29. december 2014 hos Wayback Machine
- Lees KR, Bluhmki E, von Kummer R, et al. Time to treatment with intravenous alteplase and outcome in stroke: An updated pooled analysis of ECASS, ATLANTIS, NINDS, and EPITHET trials. Lancet 2010;375(9727):1695-1703.
- Sundhedsstyrelsen: Vejledning om neurologiske sygdomme og kørekort. SST 2008. Tilgået 28.12.2014. http://sundhedsstyrelsen.dk/publ/PUBL2008/TILSYN/KOEREKORT/VEJL_NEUROSYGD_KKORT.PDF
