Binyrebark

Binyrebarken er beliggende langs omkredsen af binyrerne. Binyrebarkens funktion er at producere stresshormonerne mineralkortikoid, glukokortikoid, aldosteron og kortisol. Binyrebarken har en sekundærfunktion i androgensyntese. De seneste undersøgelser viser, at adrenokortikale celler under patologiske og fysiologiske betingelser viser neuroendokrine egenskaber. Inden for de normale binyrer synes at være begrænset til celler i zona glomerulosa og kan være vigtig for en autokrin regulering af adrenokortikal funktion. [1]

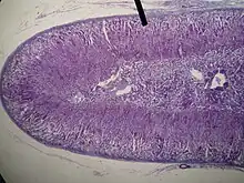
Hematoxylin-eosin-farvning af en ikke-patologisk binyre. Markøren viser binyrebarken.


Binyrebarken består af tre hovedzoner eller lag, der reguleres af forskellige hormoner som nævnt nedenfor. Denne anatomiske zonering kan forstås på det mikroskopiske niveau, hvor hver zone kan genkendes og skelnes fra hinanden baseret på strukturelle og anatomiske egenskaber. Disse hovedzoner er Zona glomerulosa, Zona fasciculata og Zona reticularis.

Kilder

  1. Ehrhart-Bornstein M, Hilbers U (1998). "Neuroendocrine properties of adrenocortical cells". Horm. Metab. Res. 30 (6-7): 436-9. doi:10.1055/s-2007-978911. PMID 9694576.
This article is issued from Wikipedia. The text is licensed under Creative Commons - Attribution - Sharealike. Additional terms may apply for the media files.