Diffus axonal skade
Diffuse axonal skade (DAI) er en hjerneskade hvor skader i form af ekstensive læsioner i hvid substans-tragter sker over et stort areal. DAI er en af de mest almindelig og ødelæggende typer af traumatisk hjerneskade,[1] og er en stor årsag til bevidstløshed og vedvarende vegetativ tilstand efter voldsomme hovedtraumer.[2] Det sker hos cirka halvdelen af alle voldsomme hovedtraumer og kan være den primære skade der sker ved hjernerystelse. Udfaldet er ofte koma, hvor mere end 90 % af alle patienter med voldsom DAI aldrig genvinder bevidsthed.[2] Dem der vågner op forbliver ofte signifikant svækket.[3]
| Diffus axonal skade | |
|---|---|
![]() | |
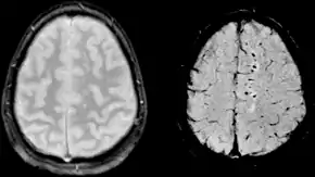
| Sårbarhedsvægtet bilede (SWI) af diffus axonal skade ved et traume med 1,5 teslaer (højre) | |
| Klassifikation og eksterne ressourcer | |
| eMedicine | radio/216 |
| MeSH | D020833 |
DAI kan opstå i enhver sværhedsgrad fra meget mild eller moderat, til meget voldsom.[4] Hjernerystelse kan være en mildere type af diffus axonal skade.
Referencer
- Iwata A., Stys P.K., Wolf J.A., Chen X.H., Taylor, A.G., Meaney D.F., and Smith D.H. (2004). Traumatic axonal injury induces proteolytic cleavage of the voltage-gated sodium channels modulated by tetrodotoxin and protease inhibitors Arkiveret 15. marts 2009 hos Wayback Machine. The Journal of Neuroscience. 24 (19): 4605—4613.
- Wasserman J. and Koenigsberg R.A. (2007). Diffuse axonal injury Arkiveret 13. oktober 2019 hos Wayback Machine. Emedicine.com. Retrieved on 2008-01-26.
- Vinas F.C. and Pilitsis J. (2006). Penetrating head trauma Arkiveret 13. september 2005 hos Wayback Machine. Emedicine.com. Retrieved on 2008-01-14.
- Smith, D.H. and Meaney D.F. (2000). Axonal damage in traumatic brain injury Arkiveret 11. november 2005 hos Wayback Machine. The Neuroscientist. 6 (6): 483—495.
