Fibrin
Fibrin er et protein der er involveret i blodets størkningsproces.

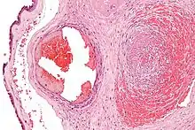
Udsnit af en tilstoppet vene, der viser fibrin (mørkt lyserødt område) omgivet af røde blodlegemer.
Fibrin er et kløvningsprodukt af zymogenet fibrinogen, og dannes ved at serin-proteasen thrombin kløver fire arginin-glycin peptidbindinger i den globulære del af fibrinogen. Herved frigøres 4 små peptider samt fibrin, og sidstnævnte polymeriseres derefter spontant til en fibrinprop. Fibrinproppen, også kendt som en thrombus, stabiliseres derefter af enzymet transglutaminase, der krydsbinder glutamin- og lysinrester i forskellige fibrinmolekyler.
    This article is issued from Wikipedia. The text is licensed under Creative Commons - Attribution - Sharealike. Additional terms may apply for the media files.