Glomerulonefritis
Glomerulonefritis er en nyresygdom der sædvanligvis rammer begge nyrer og er karakteriseret ved betændelse af de små blodkar i nyrerne (glomeruli). Glomerulonefritis kan vise sig som blod i urinen (hæmaturi), protein i urinen (proteinuri), nefrotisk syndrom, eller som akut eller kronisk nyresvigt.
| | Spire Denne artikel om sygdom er en spire som bør udbygges. Du er velkommen til at hjælpe Wikipedia ved at udvide den. |
| Glomerulonefritis Klassifikation | |
|---|---|
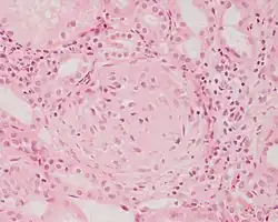
![]() Fotomikrografi af en nyrebiopsi fra en patient med glomerulonefritis. | |
| Information | |
| Navn | Glomerulonefritis |
| Medicinsk fagområde |
nefrologi |
| SKS | DN00, DN01, DN03, DN08 |
| ICD-10 | N00, N01, N03, N08 |
| ICD-9 | 580, 581, 582 |
| DiseasesDB |
5245 |
| MedlinePlus |
000484 |
| ICD-9-CM |
583.9 |
| Patientplus |
Glomerulonephritis-(GN) |
| MeSH |
D005921 |
|
Information med symbolet | |
This article is issued from Wikipedia. The text is licensed under Creative Commons - Attribution - Sharealike. Additional terms may apply for the media files.
