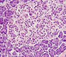
Langerhanske øer
De Langerhanske øer er bugspytkirtlens endokrine væv, der er spredt som små øer i det exokrine væv, og er opkaldt efter den tyske medicinstuderende Paul Langerhans, som opdagede dem i 1869. De Langerhanske øer består af fire forskellige slags celler:
- beta-celler som producerer insulin (50-80%)
- alfa-celler som producerer glukagon (15-20%)
- delta-celler som producerer somatostatin (3-10%)
- PP celler som producerer pankreatisk polypeptid (1%)

Langerhansk ø
This article is issued from Wikipedia. The text is licensed under Creative Commons - Attribution - Sharealike. Additional terms may apply for the media files.