Parietalcelle
Parietalcellen (også kendt som oxyntic celle) er en celle, som befinder sig i mavesækkens slimhinde og er ansvarlig for sekretionen af saltsyre til blanding med ventrikelindholdet med formål at fordøje føden.

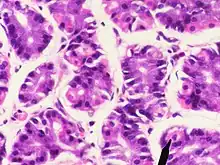
Parietalceller fra menneskemave
Cellen secernerer (udskiller) et HCl-holdigt sekret som også indeholder 'intrinsic factor', der hjælper med optaget af B12 vitamin senere i tarmen.
| | Spire Denne artikel om fysiologi er en spire som bør udbygges. Du er velkommen til at hjælpe Wikipedia ved at udvide den. |
This article is issued from Wikipedia. The text is licensed under Creative Commons - Attribution - Sharealike. Additional terms may apply for the media files.