Pulmonal arteriel hypertension
Pulmonal arteriel hypertension (PAH) skyldes for højt blodtryk i lungernes mindre blodkar. Væggene i disse blodkar bliver tykkere, fordi størrelsen og antallet af celler på karvæggens inderside øges. Det bevirker igen, at hjertet skal arbejde mere, hvilket skader hjertet.[kilde mangler]
| Pulmonal arteriel hypertension Klassifikation | |
|---|---|
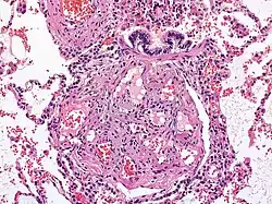
![]() Billede der viser en læsion i lungerne forårsaget af pulmonal arteriel hypertension. | |
| Information | |
| Navn | Pulmonal arteriel hypertension |
| Medicinsk fagområde |
kardiologi, lungemedicin |
| SKS | DI27.0, DI27.2 |
| ICD-10 | I27.0, I27.2 |
| ICD-9 | 416.0 |
| DiseasesDB |
10998 |
| MedlinePlus |
000112 |
| Patientplus |
pulmonary-hypertension |
| MeSH |
D006976 |
|
Information med symbolet | |
Symptomer
Der er bl.a. følgende symptomer:[1]
- Brystsmerter
- Hoste, der er tør eller kan producere blod
- Træthed
- Hæshed
- Besvimelse eller svimmelhed
- Kvalme og opkast
- Iltmangel
- Hævelse i maven, benene eller fødderne forårsaget af væskeopbygning
- Svaghed
- Hvæsen
Referencer
- "What Are the Signs and Symptoms of Pulmonary Hypertension? – NHLBI, NIH". www.nhlbi.nih.gov. Arkiveret fra originalen 5. januar 2016. Hentet 5. oktober 2019.
This article is issued from Wikipedia. The text is licensed under Creative Commons - Attribution - Sharealike. Additional terms may apply for the media files.

