Sarkoidose
Sarkoidose (Boecks sarkoid, Besnier-Boeck, Schaumanns sygdom) er en betændelsesagtig sygdom af hidtil ukendt oprindelse – man er efterhånden kommet frem til at det kan skyldes en genetisk fejl som disponerer for udbruddet af sarkoidose, denne kan så bryde frem påvirket af indre omstændigheder.
| Sarkoidose Klassifikation | |
|---|---|
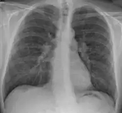
![]() Røntgenbillede med typiske forandringer i lungevæv (markeret) som følge af sarkoidose. | |
| Information | |
| Navn | Sarkoidose |
| Opkaldt efter |
Ernest Henri Besnier |
| Medicinsk fagområde |
hæmatologi, oftalmologi, dermatologi, lungemedicin |
| Genetisk association |
BTNL2 |
| SKS | DD86 |
| ICD-10 | D86 |
| ICD-9 | 135 |
| OMIM |
181000 |
| DiseasesDB |
11797 |
| MedlinePlus |
000076 |
| ICD-9-CM |
135 |
| Patientplus |
sarcoidosis-pro |
| MeSH |
D012507 |
|
Information med symbolet | |
Sygdommen rammer ca. 10/100.000 årligt, lige hyppigt mænd som kvinder. Debutalderen er 20-50 år.
Symptomer er primært fra lunger, men hud- og øjensymptomer forekommer også. Sygdommen går oftest i sig selv igen i løbet af 2-5 år. 2% forbliver dog kronisk syge. Mikroskopisk er sygdommen kendetegnet ved ikke-nekrotiserende granulomer.
| | Spire Denne artikel om sygdom er en spire som bør udbygges. Du er velkommen til at hjælpe Wikipedia ved at udvide den. |
This article is issued from Wikipedia. The text is licensed under Creative Commons - Attribution - Sharealike. Additional terms may apply for the media files.
