Creutzfeldt-Jakobs sygdom

Creutzfeldt-Jakobs sygdom (CJD) er en meget sjælden og altid dødelig hjernelidelse, som rammer omkring én ud af en million mennesker hvert år.[1] Oprindeligt var forestillingen, at sygdommen skyldtes et langsomt virus (slow virus), men med Stanley Prusiners oprensning af prionet i 1982, der ledte til Nobelprisen i fysiologi eller medicin i 1997, blev det den internationale konsensus, at sygdommen er en prionsygdom og forårsages af prionproteinet, PrP, som er et i mennesket og andre dyr normalt forekommende protein, men som af forskellige årsager kan foldes til en konformation, der kan forårsage neurologisk sygdom.[2] Årsagen til denne ændring i proteinfoldningen danner grundlag for opdelingen af sygdommen i dens undertyper.
Patogenese
PrP forekommer ifølge den mest accepterede model for prionsygdommes patogenese (nuclear polymerisation model) normalt i to monomeriske former: PrPC (cellulær PrP) og PrPSc (scrapie-form-PrP), og disse to konformationer menes at være i fysiologisk ligevægt.[3] Under normale forhold er PrPC den dominerende konformation, og dets sekundære proteinstruktur er domineret af α-helices. For alle CJD-typer gælder det, at der sker en ophobning af PrPSc, som er en konformation af PrP, hvis sekundære struktur er domineret af β-sheets.[4] Disse β-sheets gør denne konformation tilbøjelig til at aggregere til multimerisk PrPSc-amyloid, der kan virke neurotoksisk. Mekanismen for koblingen mellem PrPSc-amyloid og neurotoxicitet er endnu uklarlagt, om end forskellige modeller er blevet fremlagt. Neurotoxiciteten resulterer i apoptose, muligvis gennem øget oxidativt stress. Sygdommen synes dermed at fremkaldes af en uhensigtsmæssig forskydning af de to konformationer til fordel for PrPSc, hvilket medfører aggregering. Ifølge en mindre bredt accepteret model, template-directed refolding, inducerer PrPSc konversion af PrPC til PrPSc direkte, altså udenom ligevægtsforskydningen fra nuclear polymerisation model.[3]
Diagnose
Diagnostik af CJD baserer sig dels på et passende klinisk sygdomsbillede, der skal understøttes af relevante parakliniske undersøgelser. For en definitiv diagnose kræves biopsi af hjernevæv, der undersøges neuropatologisk efter bestemte kriterier, der varierer for de forskellige undertyper af CJD.[4] I Danmark, Færøerne og Grønland er denne definitive diagnostik centraliseret til patologiafdelingen på Rigshospitalet. Biopsien undlades i nogle tilfælde på grund af dens invasivitet, da diagnosen mange gange kan stilles med stor sikkerhed uden.
Neuropatologisk diagnostik

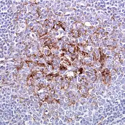
Diagnosen kan stilles definitivt på baggrund af nøje bestemte kriterier for hver enkelt af de forskellige typer af CJD. Præparatet vil farves immunhistokemisk for PrPSc. Kriterierne bygger på forskelle mellem typerne, herunder:
- Fordelingen af PrPSc i forskellige dele af hjernen
- Om PrPSc forekommer ekstracellulært
- Fordelingen af spongiform degeneration i forskellige dele af hjernen
Den mikroskopiske visualisering af præparatet kan suppleres med molekylær diagnostik. PrPSc er resistent for degradering vha. proteinase K (PK), og hvis en proteolyse med PK udføres, spaltes de til kun få fragmenter, fordi der kun er få cleavage sites. Fragmenterne kan farves vha. et monoklonalt antistof (f.eks. 3F4), og deres størrelse analyseres med gelelektroforese. PrPC er derimod sensitiv for proteolyse med PK, og der vil dannes så små fragmenter (pga. mange cleavage sites), at de ikke vil kunne adskilles på en gelelektroforese. Mobiliteten og mængden af proteinfragmenterne på gelelektroforesen bruges til at differentiere mellem forskellige undertyper af CJD.
Radiologisk diagnostik

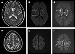
MR-scanning af hjernen kan anvendes til non-invasiv diagnostik. Stærkt signal på T2-sekvenser i nuclei pulvinares indikerer vCJD (høj sensitivitet og specificitet). Radiologiske tegn på sCJD er bl.a. stærkt signal på diffusionsvægtet MR i nucleus caudatus og putamen og evt. cortex cerebri, men disse har dog lavere sensitivitet end tegnene for vCJD.[4]
Andre analyser
- Analyse af cerebrospinalvæske for 14-3-3-protein kan udføres, idet testen har en god sensitivitet, men derimod en lav specificitet.
- Genetisk analyse af PRNP-genet kan udføres. Denne kan ikke give en diagnose, men kan dog være med til at afklare evt. genetisk ætiologi.
- Elektroencefalografi kan i sCJD påvise globale periodiske trifasiske komplekser, som dog også forekommer ved andre tilstande, som dog ofte på baggrund af sygehistorien vil kunne udelukkes
Inddeling
Inddelingen af Creutzfeldt-Jakobs sygdom sker på baggrund af årsagen til ophobning af den sygdomsfremkaldende PrPSc.[4]
- Sporadisk Creutzfeldt-Jakobs sygdom (sCJD): Konformationsændringen sker spontant uden en umiddelbart genkendelig årsag. Det er den hyppigste form.
- Variant Creutzfeldt-Jakobs sygdom (vCJD): Konformationsændringen induceres af indtagelse af et infektiøst BSE-prion gennem føde eller ved uhensigtsmæssigt ved en medicinsk procedure, f.eks. en blodtransfusion. Kaldtes tidligere new variant CJD.
- Iatrogen Creutzfeldt-Jakobs sygdom (iCJD): Konformationsændringen induceres af en indførelse af et infektiøst CJD-prion til den smittede organisme ved en medicinsk procedure, f.eks. en transplantation.
- Familiær Creutzfeldt-Jakobs sygdom (fCJD): Konformationsændringen sker i et individ, hvis genetiske sammensætning prædisponerer for denne konformationsændring.
Sporadisk Creutzfeldt-Jakobs sygdom
Sporadisk Creutzfeldt-Jakobs sygdom (sCJD) rammer typisk en midaldrende til ældre population. Gennemsnitsalderen ved død er ca. 65 år.[4] CJD blev første gang beskrevet i 1920 af Hans Gerhard Creutzfeldt og kort tid efter af Alfons Maria Jakob som en infektion af hjernevævet, som resulterede i fremadskridende psykiske og neurale lidelser med dødelig udgang. Der findes mange undertyper af sCJD, inddelt dels på baggrund af genotypen på PRNP-genets codon 129, dels af de biokemiske egenskaber for den prion, som patienten er ramt af.
Variant Creutzfeldt-Jakobs sygdom
Variant Creutzfeldt-Jakobs sygdom (vCJD) blev beskrevet i 1996 som den menneskelige form af sygdommen kogalskab (bovin spongiform encefalopati, BSE), der i slutningen af 1980'erne førte til en stor nedslagtning af inficeret kvæg i England. Den kan pådrages ved at indtage kød inficeret med BSE-prioner. Sygdommen kan have en inkubationstid på flere år, men når sygdommen først opstår, udvikler den sig hurtigere end sCJD, idet mediansygdomsforløbet er ca. 14 måneder, og patientpopulationen er væsentligt yngre, idet gennemsnitsalderen ved død er 29 år.[4] Sygdommen er karakteriseret af personlighedsændringer, fulgt af ataksi og deraf følgende tab af kontrol over muskulatur, så talen og bevægelser påvirkes. Dødeligheden er 100%. Pr. december 2018 er antallet af døde på verdensplan 228, hvilket gør sygdommen væsentligt sjældnere end frygtet under vCJD-epidemien i starten af 2000-tallet. For vCJD gælder det, at PRNP-genets codon 129 modulerer susceptibilitet for vCJD markant, eftersom alle neuropatologisk bekræftede tilfælde af vCJD undtagen ét er sket hos patienter med den methionin-homozygote genotype på PRNP's codon 129.
Familiær Creutzfeldt-Jakobs sygdom
Forskellige ændringer i PRNP-genet, der koder for PrP kan prædisponere for udvikling af CJD. Ved den familiære form for CJD (fCJD) skyldes sygdommen oftest en nedarvet variant af codon 200 (E200K, dvs. glutamat ændret til lysin), men også andre varianter forekommer, herunder D178N (aspartat ændret til aspargin på codon 178) og V210I (valin ændret til isoleucin på codon 210). Codon 129 modulerer forløbet hos alle familiære former, hvorfor forløbet udviser stor variation mellem forskellige patienter.
Smittevejen
Smitte kan ske ved indførelse af CJD-prioner i et rask individ. Eftersom PrP er mest udtrykt i nervevæv, er denne også meget infektiøs, og særlige forholdsregler skal tages for at inaktivere prioner fra materiale, der har været anvendt under medicinske procedurer på patienter, der er under mistanke for at have CJD. PrP forekommer også i andre væv, eksempelvis muskelvæv, blod og lymfevæv. Ved CJD har man desuden opdaget en smitterisiko ved transplantation, især af væv eller organer med stærke neurale forbindelser som f.eks. hornhinder, hjernehinder samt ved indtagelse af ubehandlet væksthormon (nu forbudt i EU). Tiltag på samfundsniveau har minimeret risikoen for overførsel af CJD ved medicinske procedurer i Vesten.
Se også
Referencer
- ↑ Russel MB, Kristensen JK, Andersen JS. Creutzfeldt-Jacobs sygdom. I Lægehåndbogen. Tilgået 5. januar 2018 på: https://www.sundhed.dk/sundhedsfaglig/laegehaandbogen/neurologi/tilstande-og-sygdomme/inflammatoriske-sygdomme/creutzfeldt-jacobs-sygdom/
- ↑ Prusiner SB. Novel proteinaceous infectious particles cause scrapie. Science 1982;216:136-44.
- 1 2 Michalczyk K, Ziman M. Current concepts in human prion protein (Prp) misfolding, Prnp gene polymorphisms and their contribution to Creutzfeldt-Jakob Disease (CJD). Histol Histopathol 2007;22:1149-59.
- 1 2 3 4 5 6 Head HW, Ironside JW, Ghetti B et al. Prion diseases. I: Love S, Perry A, Ironside JW, Budka H, red. Greenfield’s neuropathology. 1. 9 udg. London: CRC Press; 2015. pp. 1016-78.