Lungeemboli

Lungeemboli
Blodprop i lungerne

Klassifikation
Information
NavnLungeemboli
Blodprop i lungerne
Medicinsk fagområdekardiologi,
hæmatologi,
lungemedicin Rediger på Wikidata
ICD-9415.1 Rediger på Wikidata
DiseasesDB10956 Rediger på Wikidata
MedlinePlus000132 Rediger på Wikidata
ICD-9-CM415.19 Rediger på Wikidata
Patientpluspulmonary-embolism Rediger på Wikidata
MeSHD011655 Rediger på Wikidata
Information med symbolet Billede af blyant hentes fra Wikidata. Kildehenvisninger foreligger sammesteds.

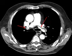
Lungeemboli eller blodprop i lungerne er en komplikation ved dyb venetrombose. Trombosen (blodproppen) løsner sig og følger blodstrømmen i venen til hjertet og derfra ud i lungekredsløbet. Her sætter den sig fast og blokerer blodtilførslen til en del af lungen. En blodprop kan løsnes når som helst, men ofte i forbindelse med aktivitet.

Diagnosen kan fastslås ved lungeskintigrafi med lungeperfusionsskintigrafi og lungeventilationsskintigrafi.

Symptomer

Symptomerne afhænger af størrelsen på blodproppen, og hvor den sætter sig fast. Store embolier kan give pludselig åndenød eller andre alvorlige symptomer. Akutte, stærke brystsmerter kan forekomme ved større embolier.

Spire
Denne artikel om sygdom er en spire som bør udbygges. Du er velkommen til at hjælpe Wikipedia ved at udvide den.