Kernelegeme


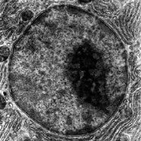
1. Nukleolus
2. Nukleus
3. Ribosomer (små prikker)
4. Vesikel
5. Granulært (ru) endoplasmatisk reticulum
6. Golgiapparattet
7. Cytoskelet
8. Glat endoplasmatisk reticulum
9. Mitokondrier
10. Vakuole
11. Cytosol
12. Lysosom
13. Centrioler
Kernelegemet eller nukleolus (flertal nukleoli), er det område i cellekernen, hvor rRNA syntetiseres. Nukleoli varierer i størrelse og kan være helt op til 1 μm i diameter.[1]
Struktur
Nukleoli består af tre komponenter: den granulære komponent, de fibrillære centre og den tætte fibrillære komponent. Den granulære komponent består af elektrontætte granula af ribonukleoprotein med en diameter på omkring 15 nm.[2] De fibrillære centre eller pars granulosa består af rRNA, der er ved at samle sig til ribosomer, bundet til ribosomale proteiner. Den tætte fibrillære komponent eller pars fibrosa består af nyligt transskriberet rRNA bundet til ribosomale proteiner.
I mange nukleoli (især i planteceller) findes endnu en struktur: en nukleolær vakuole.[3] Denne udgør et klart område i midten af nukleolus. Nukleoli fra forskellige plantearter har vist sig at være rige på jern[4] i modsætning til menneskers og dyrs nukleoli.
Noter
For videnskabelige tidsskrifter angiver volume årgang og issue nummer.
- ↑ Geneser, Finn, et al. Genesers histologi, s. 125. København: Munksgaard, 2012, ISBN 978-87-628-0396-1.
- ↑ Geneser, Finn, et al. Genesers histologi, s. 126.
- ↑ Beven, A.F. 'The organization of ribosomal RNA processing correlates with the distribution of nucleolar snRNAs'. I The Journal of Cell Science, volume 109, issue 6 (1. juni 1996), s. 1241–51. PMID 8799814. (engelsk)
- ↑ Roschzttardtz, Hannetz, et al. 'The Plant Cell Nucleolus as a Hot Spot for Iron'. I The Journal of Biological Chemistry, volume 286 (30. juni 2011), s. 27863-27866. (engelsk)
Eksterne henvisninger
| Spire Denne naturvidenskabsartikel er en spire som bør udbygges. Du er velkommen til at hjælpe Wikipedia ved at udvide den. |