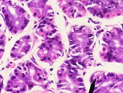
Parietalcelle

Parietalcellen (også kendt som oxyntic celle) er en celle, som befinder sig i mavesækkens slimhinde og er ansvarlig for sekretionen af saltsyre til blanding med ventrikelindholdet med formål at fordøje føden.
Cellen secernerer (udskiller) et HCl-holdigt sekret som også indeholder 'intrinsic factor', der hjælper med optaget af B12 vitamin senere i tarmen.
| Spire Denne artikel om fysiologi er en spire som bør udbygges. Du er velkommen til at hjælpe Wikipedia ved at udvide den. |