Subaraknoidal blødning
| Subaraknoidal blødning Klassifikation | |
|---|---|
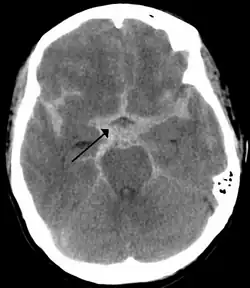
![]() CT-scanning, der viser en subaraknoidal blødning (det hvide område ved pilen) | |
| Information | |
| Navn | Subaraknoidal blødning |
| Medicinsk fagområde | neurokirurgi, akutmedicin, neuromedicin |
| SKS | DI60, DP10.3, DS06.6 |
| ICD-10 | I60, P10.3, S06.6 |
| ICD-9 | 430, 852.0, 852.1 |
| OMIM | 105800 |
| DiseasesDB | 12602 |
| MedlinePlus | 000701 |
| ICD-9-CM | 430 |
| MeSH | D013345 |
| Information med symbolet | |
En subaraknoidal blødning (undertiden blot kaldet ved akronymet SAH, af sub-arachnoidal hæmorragi) er en hjerneblødning i subaraknoidalrummet mellem den tynde hjernehinde (pia mater) og spindelhinden (arachnoidea mater), og altså ikke i selve hjernen. [1]
Symptomer
Det mest almindelige symptom på subaraknoidal blødning, er kraftig og pludselig hovedpine ((engelsk): thunderclap headache), Andre symptomer som nakkestivhed (og andre meningitislignende symptomer, men nakkestivheden manifesterer sig ofte først i løbet af et par timer), kvalme og opkast, forvirring, nedsat bevidsthed, koma eller død, kramper kan forekomme ved 10-50% af patienterne, og fotofobi, følger meget ofte hovedpinen. Kramper er mest almindelige hos SAH-patienter, hvor blødningen skyldes en aneurisme.[2]
Hjernebrok kan forekomme på grund af forhøjet intrakranielt tryk. Symptomerne på dette kan være anisokori (uens pupiller) og tab af pupilrefleks.
Intraokulær blødning (blødning i øjet) kan ske som følge af det hævede intrakranielle tryk (akronym: ICP af det engelske udtryk intracranial pressure), kendt som Tersons syndrom, og er mest almindelig ved svær SAH, og kan ses på en oftalmoskopi som peripapillære blødninger, eller blødninger i øjets glaslegeme (corpus vitreum). I akutte tilfælde ses stasepapil, altså hævelse omkring synsnerven, mere bestemt papilla nervi optici
Abnormaliteter på okulomotornerven (Nervus oculomotorius) (hvor øjet kigger nedad og udad, og patienten ikke kan løfte øjenlåget på samme øje) eller lammelse, kan indikere blødning i arteria cerebri communicans posterior ((engelsk): posterior communicating artery, akronym: PCOM)
Årsager
I 70% af tilfælde, er årsagen til SAH en intrakraniel aneurisme der brister (ruptur). Aneurismerne forekommer som regel ved arteriernes forgreninger i Willis cirkel.
Referencer
- ↑ "patienthaandbogen.dk om SAH". Arkiveret fra originalen 5. maj 2012. Hentet 12. april 2012.
- ↑ lægehåndbogen om SAH
| Spire Denne artikel om sygdom er en spire som bør udbygges. Du er velkommen til at hjælpe Wikipedia ved at udvide den. |
