Subduralt hæmatom
| Subduralt hæmatom Klassifikation | |
|---|---|
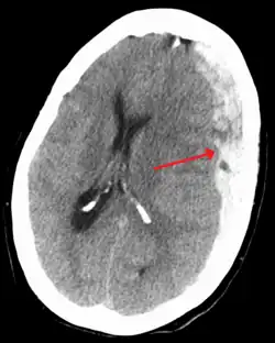
Subduralt hæmatom vist med pile med betydelig midtlinjeforskydning. | |
| Information | |
| Navn | Subduralt hæmatom |
| Medicinsk fagområde | neurokirurgi |
| SKS | DI62.0, DP10.0, DS06.5 |
| ICD-10 | I62.0, P10.0, S06.5 |
| ICD-9 | 852.2, 432.1 |
| DiseasesDB | 12614 |
| MedlinePlus | 000713 |
| MeSH | D006408 |
| Information med symbolet | |
Et subduralt hæmatom (SDH), også kaldet subdural hæmorrhagi eller subdural blødning, er en type af blødning der oftest opstår efter et hovedtraume. Blødningen opstår imellem hjernehindernes to yderste lag: Dura mater og arachnoidea mater.
Årsagen til et SDH er oftest en overrivning af brovenerne, som er vener der løber ude i subduralrummet (hulrummet mellem dura mater og arachnoidea mater), og er som regel følge af en voldsom ydre påvirkning af hovedet, fx ved et slag eller et fald. På grund af den begrænsede plads inde i kraniet kan blødningen øge det intrakranielle tryk (ICP), hvilket kan forårsage tryk på hjernen og skade hjernevævet. Hvis trykket bliver tilstrækkeligt højt kan hjernens strukturer blive forskubbede, hvilket kaldes herniering eller inkarseration og er akut livstruende. Et SDH kan udvikle sig med forskellig hastighed afhængigt af hvor store vener der er beskadigede. Hvis symptomerne udvikler sig hurtigt, kaldes det et akut SDH, mens et SDH hvor symptomerne udvikler sig over dage eller uger kaldes et kronisk SDH. Prognosen for et kronisk SDH er god, mens den er mere kritisk for et akut SDH.
Et subduralt hæmatom adskiller sig fra et epiduralt hæmatom, hvor en arterie mellem kranieskallen og dura mater beskadiges, og en subaraknoidal blødning (SAH), hvor der opstår en blødning imellem den inderste hjernehinde, pia mater, og arachnoida mater.
Klassifikation
SDHer opdeles i akutte, subakutte og kroniske, afhængigt af hvor hurtigt symptomerne udvikler sig.[1] Akutte SDHer som skyldes hovedtraume er farligst og har en meget høj dødelighed, hvis ikke de behandles med trykaflastende kirurgi inden for få timer.[2]
Akutte blødninger opstår hyppigst efter højhastigheds acceleration eller deceleration, fx ved trafikulykker eller fald. Sværhedsgraden afhænger af størrelsen på blødningen og om der også er kontusionsblødninger.[3] Selvom de udvikler sig hurtigere end de kroniske blødninger, er udviklingen stadig væsentlig langsommere end ved arterielle blødninger, fx et epiduralt hæmatom eller en subaraknoidal blødning. Akutte SDHer har dog stadig en højere dødelighed end de arterielle blødninger fordi den store kraft der skal til for at skade venerne ofte også vil lave mange andre skader på patienten.[4] Dødeligheden ved akut SDH er 60 til 80%.[5]
Kroniske subdurale blødninger udvikler sig over dage eller uger, typisk efter mindre hovedtraumer, selvom man i mange tilfælde ikke kan finde en oplagt årsag.[6] De opdages ofte ikke før de begynder at medføre kliniske symptomer måneder eller år efter et hovedtraume.[7] Blødningen er langsom og kan være flere småblødninger, som er stoppet af sig selv.[8][9] Fordi blødningen er langsom kommer der ofte ingen varig eller kun ubetydelig skade på hjernen. Små kroniske blødninger, altså mindre end en centimeter i bredden, har den bedste prognose: Her vil kun 22% af patienterne få et dårligt udfald.[3] Kroniske subdurale blødninger forekommer hyppigt hos ældre mennesker.[7]
Symptomer og tegn
Symptomerne på SDH indtræder mere langsomt en symptomer på et epidural blødning, fordi vener bløder mere langsomt end arterier. Symptomer på SDH kan vise sig efter minutter,[10] men kan også være forsinkede op til to uger.[11] Hvis blødningerne er store nok til at øge trykket på hjernen, vil symptomer på øget intrakranialt tryk eller hjerneskade være til stede.[3]
Tegn og symptomer på subduralt hæmatom:
- Fald eller hovedtraumer inden for dage eller uger
- Nedsat bevidsthed eller svingende bevidsthedsniveau
- Irritation
- Kramper
- Hovedpine
- Føleforstyrrelser (sovende fornemmelse)
- Svimmelhed
- Forvirring
- Hukommelsestap
- Lammelser i arme eller ben
- Kvalme eller opkastning
- Nedsat appetit
- Ændret personlighed
- Problemer med at tale
- Problemer med at gå, styringsbesvær
- Ændret vejrtrækning
- Ændret hørelse eller susen/ringen for ørene
- Sløret syn
- Dobbeltsyn[3]
Risikofaktorer
Risikoen er størst hos små børn og ældre mennesker. Med alderen bliver hjernen mindre og derved bliver subduralrummet tilsvarende større og venerne, som løber igennem rummet bliver derfor længere og mere udsatte for overrivning. Samtidig bliver blodårene med alderen også mere skrøbelige.[6] Spædbørn har ligeledes et større subduralrum end større børn og er derfor mere udsatte.[3] SDHer ses derfor nogle gange hos spædbørn, som er blevet rusket kraftigt (shaken baby syndrome).
Andre risikofaktorer er blodfortyndende medicin som acetylsalicylsyre og warfarin, langvarigt alkoholmisbrug og demens.
Patofysiologi

Blodansamlingen i subduralrummet kan via osmose suge vand til sig så blodansamlingen bliver større, hvilket får trykket på hjernen til at stige og kan skade flere vener og derved lave flere blødninger.[6] Blødningen kan undertiden danne sin egen membran.[12]
Blodansamlingen udskiller stoffer som får blodkarrene i omgivelserne til at trække sig sammen. Det har til formål, at forebygge yderligere blødning, men det kan have den uheldige konsekvens, at karrene på overfladen af hjernen lige under blødningen trækker sig sammen. Derved hæmmes blodforsyningen til området i sådan en grad, at der kan opstå et infarkt.[9]
I den kroniske fase bliver blodet ligeså stille reabsorberet ved at hvide blodlegemer trænger ind i blodansamlingen og omdanner de døde celler (fagocytose). Efter noget tid vil hele blodansamlingen udskiftes med arvæv og væske. Det "ar" der er tilbage kaldes et hygrom.
Diagnose

Diagnosen stilles typisk ved CT-scanning af hovedet. Alternativt kan MR-scanning bruges. SDHer opstår oftest over frontal- eller temporallapperne.[3][8] De kan også forekomme i kraniets fossa posterior, ved falx cerebri og tentorium cerebelli.[3]
På en CT-skanning kan et SDH ses som en linseformet bramme med den konkave side mod hjernen. I den akutte fase ses det friske blod som klart hvidt på billederne, men senere vil den gå over i lysegrå i takt med at blodet reabsorberes. Til forskel for epidurale blødninger er SDHer ikke afgrænset af kraniets suturer og vil derfor brede sig over en større del af hjernens overflade. På hjernens overflade, umiddelbart under blødningen, kan der være hypodensitet (mørkfarvning) af hjernevævet, som tegn på iskæmi og medfølgende væskeansamling.
Behandling
Det er vigtigt at personer, som har slået hovedet og som får det dårligt efterfølgende tilses af en læge. Hvis der er nedsat bevidsthed eller neurologiske udfald laves der normalt en CT-skanning af hovedet.
Behandlingen afhænger af blødningens størrelse og hastigheden symptomerne udvikler sig med. Ved små blødninger kan det være nok med et roligt regime og observation. Ved større blødninger kan der være behov for kirurgisk behandling. Mindre blødninger kan ofte klares med et borhul, mens større blødninger fjernes ved en kraniotomi, hvor et stykke af kraniet saves ud og dura mater klippes op. Blodet kan herefter suges væk og blødende kar stoppes, hvorefter kraniepladen genplaceres. I nogle tilfælde vil der være behov for en decideret kraniektomi, hvor kraniepladen ikke sættes på plads med det samme.[13][14] Postoperative komplikationer omfatter øget intrakranialt tryk, hjerneødem, ny eller genoptagen blødning, infektion og kramper.
Referencer
- ↑ Herbert H Engelhard III, MD, PhD, FACS, Grant P Sinson, MD, George Timothy Reiter, MD, Paul L Penar, MD, FACS, Francisco Talavera, PharmD, PhD, Allen R Wyler, MD, Paolo Zamboni, MD, Allen R Wyler 2009. Subdural Hematoma Surgery . Medscape Reference, eMedicine.medscape.com retrieved on 7/21/2011.
- ↑ UCLA Neurosurgery neurosurgery.ucla.edu Arkiveret 26. september 2015 hos Wayback Machine retrieved on 7/21/2011.
- 1 2 3 4 5 6 7 Wagner AL. 2004. "Subdural hematoma." Emedicine.com. Retrieved on August 8, 2007.
- ↑ Vinas F.C. and Pilitsis J. 2006. Penetrating Head Trauma. Emedicine.com.
- ↑ Dawodu S. 2004. "Traumatic brain injury: Definition, epidemiology, pathophysiology" Emedicine.com. Retrieved on August 7, 2007.
- 1 2 3 Downie A. 2001. "Tutorial: CT in head trauma" Arkiveret 6. november 2005 hos Wayback Machine. Retrieved on August 7, 2007.
- 1 2 Kushner D (1998). "Mild Traumatic Brain Injury: Toward Understanding Manifestations and Treatment". Archives of Internal Medicine. 158 (15): 1617-1624. doi:10.1001/archinte.158.15.1617. PMID 9701095. Arkiveret fra originalen 14. maj 2008. Hentet 17. marts 2013.
- 1 2 University of Vermont College of Medicine. "Neuropathology: Trauma to the CNS." Accessed through web archive on August 8, 2007.
- 1 2 Graham DI and Gennareli TA. Chapter 5, "Pathology of brain damage after head injury" Cooper P and Golfinos G. 2000. Head Injury, 4th Ed. Morgan Hill, New York.
- ↑ "Subdural hematoma: MedlinePlus Medical Encyclopedia". Nlm.nih.gov. 2012-06-28. Hentet 2012-07-27.
- ↑ Sanders MJ and McKenna K. 2001. Mosby’s Paramedic Textbook, 2nd revised Ed. Chapter 22, "Head and facial trauma." Mosby.
- ↑ McCaffrey P. 2001. "The neuroscience on the web series: CMSD 336 neuropathologies of language and cognition." Arkiveret 6. april 2007 hos Wayback Machine California State University, Chico. Retrieved on August 7, 2007.
- ↑ Koivisto T, Jääskeläinen JE (2009). "Chronic subdural haematoma—to drain or not to drain?". Lancet. 374 (9695): 1040-1041. doi:10.1016/S0140-6736(09)61682-2.
- ↑ Santarius T, Kirkpatrick PJ, Dharmendra G; et al. (2009). "Use of drains versus no drains after burr-hole evacuation of chronic subdural haematoma: a randomised controlled trial". Lancet. 374 (9695): 1067-1073. doi:10.1016/S0140-6736(09)61115-6.
{{cite journal}}: Eksplicit brug af et al. i:|author=(hjælp)CS1-vedligeholdelse: Flere navne: authors list (link)