Gramfarvning
Gramfarvningen af bakterier er en metode, som gør det muligt at lave en grundlæggende inddeling af bakterier ud fra forhold i deres cellevægge. Metoden blev beskrevet i 1884 af den danske læge Hans Christian Gram (1853-1938).




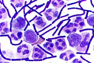
Farvemetoden
    
Farvemetoden[1] inddeler bakterier i "Gram-positive" og "Gram-negative". Gramfarvningen drejer sig om, hvordan bakterier lader sig indfarve med et violet farvestof, krystalviolet, nemlig sådan at de Gram-positive bakterier vil fremtræde med blå eller violet farve under et mikroskop, mens de Gram-negative vil være røde eller lyserøde (de kontrastfarves med et rødt eller orange farvestof - typisk carbolfuschin). Syrefaste bakterier kan ikke klassificeres inden for denne inddeling, dette gælder for eksempel Mykobakterier (tuberkulose).
Gram-negative og Gram-positive bakterier adskiller sig generelt ved opbygningen af cellevægsstrukturen.
De Gram-negative bakterier er opbygget af en membran og et ydre tyndt lag af peptidoglycan. De har endvidere en ydre membran med et højt indhold af LPS, dvs. lipopolysaccharid. Rummet mellem de to membraner med peptidoglycanlaget kaldes det periplasmatiske rum. De Gram-positive bakterier har ikke nogen ydre membran.
Gram-positive bakterier har et tykt lag peptidoglycan, hvilket er medvirkende til at krystalviolet-iod komplekserne ikke skylles ud af bakterien cellevæg ved skylningen med ethanol efter farvning med først krystalviolet og efterfølgende påføring af iod, i samme grad som Gram negative bakterier. Denne forskel betyder, at bakterierne antager forskellig farve ved Gram-farvning.
Penicillin har generelt bedst virkning på gram-positive bakterier, men det afhænger af den anvendte type penicillin, og der er undtagelser fra denne regel. Det skyldes, at penicillin forstyrrer opbygningen af bakteriernes cellevæg, specifikt peptidoglycan-molekylerne. Mange bakterier har desuden udviklet resistens mod penicillin, jvf antibiotikaresistens.
Gram-positive
    
Man finder almindeligvis følgende kendetegn hos de Gram-positive bakterier:
- En meget tyk cellevæg, bestående af peptido-glycan
 - Hvis bakterien har en flagel, har denne to støttende ringe
 - Der findes teikoidsyrer, der virker som chelater og i visse tilfælde som klæbestof
 - Der er ingen lipoproteiner
 
Eksempler på Gram-positive bakterier
    
Typiske gram-positive bakterier er:
- Aerobe sporedannende bacilli
 - Anaerobe sporedannende bacilli
- Clostridium botulinum (Pølseforgiftning)
 - Clostridium tetani (Stivkrampe)
 - Clostridium perfringens (Gasgangræn)
 - Clostridium novyi (Gasgangræn)
 - Clostridium septicum (Gasgangræn)
 - Clostridium difficile (Antibiotika associeret tyktarmsbetændelse)
 
 - Corynebakterier
- Corynebacterium diphteriae (Difteri)
 - Corynebacterium vaginale
 
 - Staphylococcus aureus (Betændelse, Tamponsyge)
 - Bacillus subtilis
 - Lactobacillus acidophilus (normal tarmflora)
 - Lactococcus lactis (Surmælksprodukter)
 - Bacillus thuringiensis (Biologisk bekæmpelse)
 - Bacillus subtilis
 
Gram-negative
    
Man finder almindeligvis følgende kendetegn hos de Gram-negative bakterier:
- Cellevæggen indeholder nogle få lag af peptidoglycan
 - Cellerne er omgivet af en ydre membran, der består af lipopolysaccharider; disse omgiver peptidoglycan-lagene.
 - I den ydre membran findes poriner, der virker som porer for bestemte molekyler.
 - Der findes et "periplasmatisk mellemrum" mellem cellevæggen og den ydre membran.
 - Hvis der findes en flagel, har den fire støtteringe i stedet for to .
 - Der er ingen teikoidsyrer.
 - Lipoproteiner er fæstnet til polysakkaridstrukturen.
 
Eksempler på gram-negative bakterier
    
Disse udgøres af et stort antal forskelligartede bakterier, som ofte tilhører tarmfloraen eller er direkte sygdomsfremkaldende for mennesker.
- Escherichia coli (E. coli), Salmonella, Shigella, andre Enterobacteriaceae, Pseudomonas, Moraxella, Helicobacter, Stenotrophomonas, Bdellovibrio, Eddikesyrebacterier, Legionella , cyanobakterier, spirokæter, svovlbakterier
 - Neisseria gonorrhoeae, Neisseria meningitidis
 - Haemophilus influenzae, Klebsiella pneumoniae, Legionella pneumophila, Pseudomonas aeruginosa, Proteus mirabilis, Enterobacter cloacae, Serratia marcescens, Helicobacter pylori, Salmonella enteritidis, Salmonella typhi, Acinetobacter baumannii
 
Andre farvemetoder
    
- Karbolfuchsin
 - Ziehl-Nielsen
 
Litteratur
    
- H. C. J. Gram: Über die isolierte Färbung der Schizomyceten in Schnitt- und Trockenpräparaten. Fortschr. Med. 2 (1884), 135-139.